Call us now:

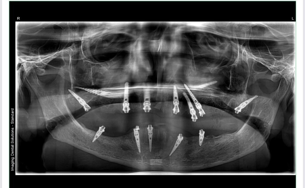
At Urban Smile Orthodontics & Dental Implants Centre, we are committed to transforming lives through advanced dental implant solutions. One of our recent success stories is a full-mouth restoration using immediate loading implants (I-Implants from Bioline), completed in just 5 days.
Case Overview: A Life-Changing Smile in 5 Days
Our patient, a middle-aged individual suffering from severe tooth loss and compromised chewing ability, came to us looking for a permanent, aesthetic, and functional solution. After a thorough assessment, we recommended immediate loading full-mouth implants with screw-retained prosthetics—a superior alternative to conventional basal implants.
Step-by-Step Treatment Plan
✔ Day 1: Comprehensive consultation, CBCT scan, and digital treatment planning.
✔ Day 2: Extraction of remaining hopeless teeth (if any) and strategic placement of Bioline I-Implants for full-mouth rehabilitation.
✔ Day 3: Impression-taking for precise, high-quality prosthesis fabrication.
✔ Day 4: Trial of the screw-retained prosthesis for perfect fit, function, and aesthetics.
✔ Day 5: Final prosthesis delivery—giving the patient a beautiful, natural-looking smile with excellent function.

Why Screw-Retained Prosthesis Over Basal Implants?
While basal implants are widely used, screw-retained prosthetics with I-Implants provide greater advantages, such as:
✅ Better Maintenance & Retrievability – Unlike cement-retained or basal implant prosthetics, screw-retained restorations can be easily removed for adjustments, cleaning, or repairs.
✅ Superior Fit & Stability – The precision of screw-retained prosthetics ensures a perfect, long-lasting fit.
✅ No Cementation Issues – Eliminates the risk of cement-induced peri-implantitis, a common problem in cemented prosthetics.
✅ Stronger Aesthetics & Functionality – With custom-designed prosthetics, patients get a natural smile and optimal chewing efficiency within days.
✅ Minimal Bone Reduction Required – Unlike basal implants, which often require extensive cortical bone engagement, Bioline I-Implants adapt efficiently with less invasive techniques.
Patient’s Reaction: A Grateful Smile & Heartfelt Appreciation
The transformation was instant and life-changing. Our patient was overwhelmed with joy, praising our expertise and the efficiency of the procedure. From struggling with missing teeth to regaining full confidence in just five days, the results exceeded expectations.
“Dr. Manish Dighade and the team at Urban Smile truly worked wonders! I never thought I could have a fixed smile this fast. The implants feel natural, and I can eat anything without discomfort. Thank you for giving me back my confidence!”
Conclusion: A Future of Smiles with Immediate Loading Implants
At Urban Smile Dental Clinic, we specialize in state-of-the-art full-mouth implant treatments, ensuring that our patients receive fast, reliable, and aesthetically perfect solutions. With the Bioline I-Implants and screw-retained prosthetics, we continue to redefine implant dentistry by providing exceptional results in record time.
If you or someone you know is looking for a permanent, hassle-free solution for missing teeth, visit us at Urban Smile Orthodontic & Dental Implants Centre, Wakad, Pune. Book your consultation today and take the first step towards a confident, beautiful smile!
📞 Call us at: 9284710193
🌐 Visit us at: www.urbansmile.in